La traducción de nuestros casos se encuentra aún en proceso. Parte de nuestros casos han sido ya traducidos al castellano, sin embargo disponemos de más casos en nuestra versión en inglés. Gracias por su paciencia y apoyo.
El equipo de MSK Radiology 4 U
Search Cases
Diagnosis
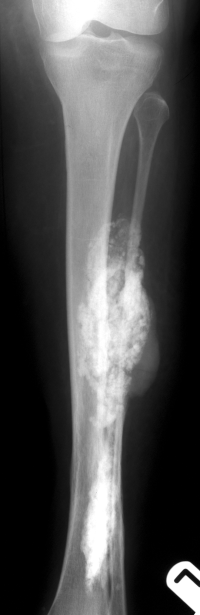
Osteofibrous dysplasia tibia. Typical anterior diaphyseal location, mixed lesion with minor anterior bowing. In an adult the differential diagnosis would include an adamantinoma.
Case Number: 2995
Displaying record
1
of 4281
History
10-year-old girl with mild pain and deformity of the shin.